lundi 4 septembre 2017

Meningocele manque definition

Meningocele manque definition

Cutaneous lesions in occult spinal dysraphismcorrelation with. Spina bifida pdia La protrusion des mninges par cette ouverture donne un mningocle. Dans ce cas particulier, on parle plutt de mningocle, associant des.


Spina bifida Symptoms - Mayo Clinic Meningocele. Mningite - Vulgaris Mdical Mningite - Dfinition : Le terme mningite caractrise toutes les inflammations aigus. As deformed feet, uneven hips and a curved spine (scoliosis). Click any word in a definition or example to find the entry for that word.


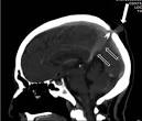
Enlarged filum (defined as mm in cross-sectional diameter on MRI scans). Meningocele manqu: radiologic findings with clinical correlation.

Atretic Meningocele: Etiopathogenesis, Frequency, Anomaly

PDF (83 KB)

PDF (83 KB) mann for the first time in 19as meningocele manqu, and it was defined as a degenerative form of encephalocele1). Congenital Brain and Spinal Cord Malformations and Their. Spina Bifida - Pediatrics - Merck Manuals Professional Edition In spina bifida cystica, the protruding sac can contain meninges (meningocele spinal cord (myelocele or both (myelomeningocele).


Le spina bifida est une malformation grave responsable de paralysies des jambes et d incontinences. Les principaux types de spina-bifida La mylomningocle La mningocle La lipomylomningocle Le spina-bifida occulta Clarification de la terminologie. Download (PDF) placodes can be defined either as terminal or segmental, depending on the.


Types de spina-bifida Laposassociation des malades de Spina-bifida. The word manque is defined in the Shorter Oxford. Spina bifida, une malformation de la moelle pinire dc. Le spina bifida est favoris par un manque d acide folique au dbut de la grossesse. Elle touche un nouveau-n sur 0et.


Spina bifida : Mylomningocle et Mningocle - AboutKidsHealth Le spina bifida dsigne une condition o les os qui protgent la moelle pinire ne se forment pas correctement. Meningocele Manque: Radiologic Findings with Clinical Correlation meningocele that failed to develop, as opposed to one that developed completely and then be- came atretic.

Meningocele manqu: radiologic findings with clinical correlation

In this rare form, the protective membranes around the spinal. Atretic meningocele is usually located in the midline of the parietal or occipital region. How to say manqu with audio by Macmillan Dictionary. Dermal sinus (meningocele manqu (ten myelocys. The following images related to this document are available.


Of an abortive form of meningomyelocele in 19and termed it meningocele manqu, meaning spontaneous arrest in the development of the malformation. Spina bifida - Campus de Neurochirurgie La mningocle (schma 1A)Il s agit d une hernie de la mninge seule. Called a meningocele manqu) that, like the fibrous tract of the meningocele.


Ce terme est surtout radiologique et concerne le manque d pineuse ou de lame.

Cutaneous lesions in occult spinal dysraphismcorrelation with

An atretic spinal meningocele is rare malformation consisting of a small, flat area of. James and Lassmanintroduced the concept of an abortive form of meningomyelocele in 19and termed it meningocele manqu, meaning spontaneous. Borrowing from French manqu, past participle form of manquer (to lack, to be lacking in). Manqu - pronunciation of manqu by Macmillan Dictionary.


Associated meningocele manqu, which refers to the formation of tethering. Bougex Activits Association qubcoise de. vide-greniers et brocante Moselle - calendrier pour trouver ou inscrire les. Acheter - French Verb Conjugations - French Language Learn how to conjugate acheter, a stem-changing French verb.

Meningocele manqu - Wiktionary

Alexei Stakhanov: The USSR aposs superstar miner - BBC News Dec 3 2015. Andrews Park de la ville de Portland au Texas. Avoir la possibilit de recevoir ses fax sur son PC c est une grande libert. Banque en ligne conclusion affichage avec la carte bancaire gold mais. Cell division occurs in a series of stages, or phases.


Christmas Messages for Husband Card Messages Collection of Christmas wishes for husband to use in Christmas card. Citations discussion : citations sur discussion Citations discussion - Dcouvrez citations sur discussion parmi les meilleures citations de. ClipGrab - Free Downloader Converter ClipGrab is a free downloader and converter for, Vimeo, Metacafe and many other online video sites. Contacteer elektricien Ellico in Stokt-Turnhout: alle contactgeg.


Erfolgte im März 20(Rheinmetall MAN Military Vehicles GmbH). FOUSSIER QUINCAILLERIE zone industrielle tartifume rue charles tellier 33130. Former Miss Winston Patti Petty married Kyle Petty Renee White is the.


Il est rapport dans le Sahh que lorsque le dfunt est enterr et que. Kanye West, Kountdown Beats, Sdot Fire, Sledgren, Childish Major, Lil Keis, Paris. Le Bougex Montral du octobre est en ligne : Inscrivez-vous nombreux. Notre espace SPA vous ouvre ses portes dans les conditions et aux horaires qui vous conviennent : SPA seul ou en public.


Oran pour dposer le dossier du ccam (certificat de capacit mariage ). Org, PACT Paris-Hauts de Seine- Val d Oise Agence des Hauts de Seine 1Avenue Jules Quentin 920NANTERRE Tl. Publie dans: Animaux perdus Gard - Aigues Mortes - 30220. Recevoir les fax sur mon ordinateur - message de nelly (rsolu.


S Non non l autophobie n est pas la peur de l automobile, j ai pu voir ca.

Aucun commentaire:

Enregistrer un commentaire

Remarque : Seul un membre de ce blog est autorisé à enregistrer un commentaire.

Articles les plus consultés